热门

更多
云泰案例 | MR联合PET/CT诊疗案例分享
发布时间:2023-04-06 15:35

为什么做完常规MRI,还需要做全身PET/CT,或者做完PET/CT,还需要做全身MRI?下面为大家分享一个案例。


云泰案例


病史:

七年前乙状结肠癌手术,术后化疗,去年右下肺转移再手术,术后化疗,未再治疗,左下肢痛7-8个月。

此病例我们先为其做了髋关节磁共振成像,随后为其进行了全身PET/CT检查。


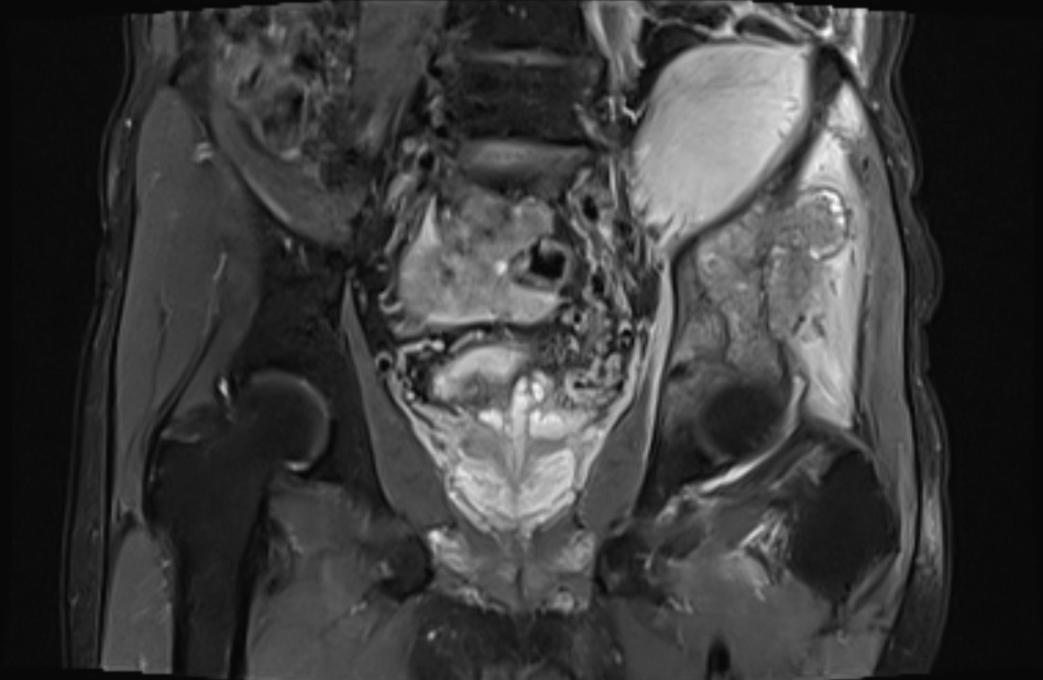
髋关节MR检查图像

图片

图片

MR表现: 

左侧髂骨骨质破坏,累及髋臼,形成巨大软组织肿块,其最大径大致约 10.6cmx7.6cmx7.6cm;与邻近肌肉相比:T2WI肿块下部呈稍高信号,外 上部呈高信号,T1WI呈等高信号,其中可见斑点状高信号;DWI高b值, 肿块下部呈不规则高信号。瘤周肌肉可见水肿;左侧腰大肌前移。膀胱直肠窝可见少许液性信号影。


MR诊断:

1、左侧髂骨改变,结合病史,考虑转移瘤。

2、盆腔少许积液。


PET/CT检查图像

图片

图片

图片


PET/CT诊断:

1、乙状结肠癌术后、化疗后,肠道吻合口区未见明显恶性肿瘤征象;

2、盆腔内左侧髂外血管旁肿大淋巴结,代谢稍增高,建议临床追踪以排外淋巴结转移灶的可能;

3、右肺转移癌术后,右肺中、下叶支气管残端区未见明显恶性肿瘤征象;残留右肺上叶后段多个小结节影及斑片影,代谢稍增高,多考虑肺转移灶;

4、右侧肺门区肿大淋巴结,代谢增高,考虑淋巴结转移灶;

5、左侧髂骨及左侧坐骨骨质破坏,代谢增高,考虑骨转移灶,左髂骨病灶侵犯周边软组织。


讨论:该病例为转移瘤患者,PET/CT与MRI影像表现均可以诊断,做PET/CT检查目的是为了确定肿瘤病灶以及了解全身转移情况。

综合该病例,我们可以清楚看到,MRI能看到的只是一部分解剖位置,PET/CT是可以用来检查癌症是否全身转移,不仅仅是骨组织,还有肺部等其他脏器、头部等。PET/CT和MRI扫描在转移瘤病灶的显示上,二者存在很多互补,磁共振平扫+增强+功能成像可以有更为清晰的显像,准确的判断转移瘤的良恶性,更细致的展现出肿瘤病灶的情况。PET/CT图像上高亮度图像可以很直观判断肿瘤与转移情况,可以很好弥补MR的不足,PET/CT作为目前最先进的影像学检查方法,在检测远处转移方面,它比传统的CT、MR有着更高的敏感性,已经成为许多实体瘤患者必不可少的检查手段。

所以,PET/CT和磁共振联合诊断是非常有必要的。医生往往都会通过影像学和分子生物学等相关手段来准确诊断患者的病情,然后选择最适合患者病情的药物或治疗手段,从而实现医源性损害最小化、医疗耗费最低化以及病患获益最大化。


PET/CT临床应用

1、肿瘤的早期诊断及鉴别诊断。

2、其他检查设备不能确诊的肿瘤病灶。

3、不明原因的转移性肿瘤寻找原发病灶。

4、判断肿瘤是否发生转移以及转移病灶的部位

5、短暂性脑缺血与脑梗死早期定位/疗效评估/预后判断。

6、早老性痴呆/帕金森病/脑血管疾病的早期诊断。

7、癫痈病灶的准确定位及手术疗效的评估。

8、恶性肿瘤的放射性治疗提供准确定位。

9、判断恶性肿瘤治疗后是否残留或复发。

10、肿瘤化疗和放疗后的疗效评估。

上一篇 下一篇