热门

更多
肿瘤转移怎么办?PET/CT精准探测肿瘤转移情况
发布时间:2025-01-20 15:53

肿瘤转移是癌症恶化的一个重要标志,而PET/CT作为分子影像学的重要武器,可以在肿瘤转移的早期发现它们。PET/CT显像通过结合正电子发射断层扫描(PET)和计算机断层扫描(CT),能够提供全身的功能代谢信息和解剖结构定位信息,帮助医生发现肿瘤的原发灶和转移灶。 

云泰案例

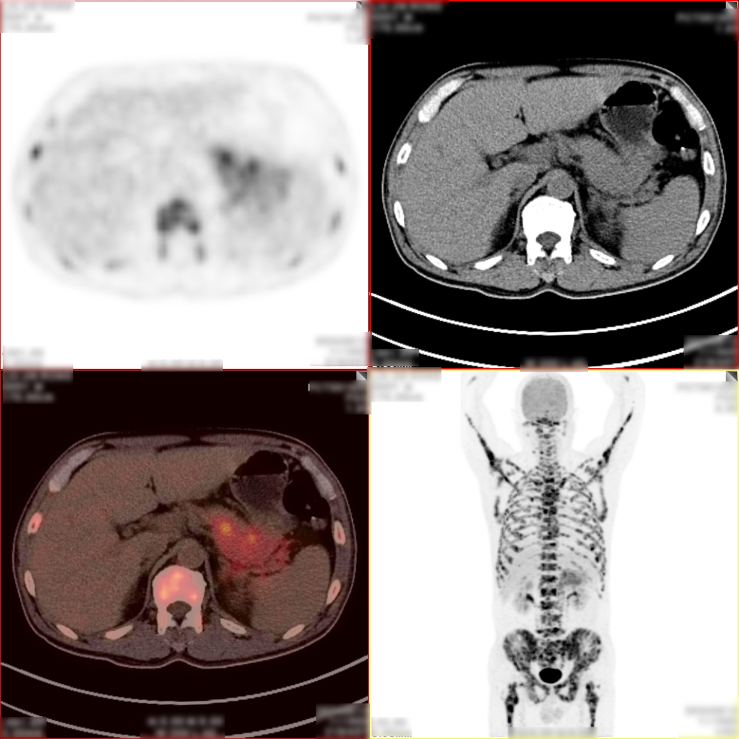
病史:男,55岁,腹痛伴乏力3天入院检查,MR:胰尾部肿物,考虑胰腺癌并多发淋巴结转移;超声胃镜下胰腺活检未见癌细胞,为了解全身状况申请PET检查。

PET/CT检查所见

空腹 6h 以上,静脉注射显像剂 18F-FDG,平静休息 60min 后行全身 PET 及 CT 断 层显像,解剖与功能图像行多层面、多幅显示,影像清晰。

图片图片图片图片图片图片

PET/CT诊断意见:

1、胰腺体尾部块状胰腺癌,病灶侵犯相邻胃体部胃壁,并可能侵犯左侧肾周筋膜,肿块远端胰尾部胰管扩张;盆腔少量积液;

2、胰腺尾部周围、中上腹部腹膜后区腹主动脉周围及纵隔内(1R、1L、2R、4R、5、7 组)多发淋巴结转移灶;

3、双侧尺骨近端、双侧肱骨、右侧颞骨、枕骨、蝶骨、双侧下颌骨头、双侧锁骨、双侧肩胛骨、胸骨、脊柱各椎体、双侧各肋骨、骨盆诸组成骨、右侧股骨头、双侧股骨颈及股骨干广泛骨转移灶,其中左侧第 2、4 前肋、右侧第 4、7 侧肋病理性骨折。

PET/CT活检病理:胰腺癌

PET/CT显像在定位转移灶中的作用

肿瘤转移通常是指恶性肿瘤细胞从原发部位向其他部位继续生长。肿瘤主要是指机体细胞异常增生,在身体局部所形成的肿块,通常包括良性肿瘤和恶性肿瘤两种,良性肿瘤通常并不会发生转移,但恶性肿瘤可能会出现远处转移,会通过淋巴道、血管或者是体腔等部位到达其他部位继续生长,是恶性肿瘤预后差的最主要原因。PET/CT在定位肿瘤转移灶,了解肿瘤有无淋巴结和远处转移,有着CT和磁共振无法比拟的优势。

早期发现病变:PET/CT能在疾病尚未出现明显临床症状或形态学改变时,就发现微小的病灶,包括转移灶。

精准定位与定性:PET/CT不仅能准确显示病灶的位置、大小和形态,还能通过功能代谢信息对病灶进行定性分析。

全身扫描一网打尽:一次PET/CT检查,就能同时获得全身各部位的断层图像,全面评估患者的整体状况,这对于发现全身性疾病和寻找转移灶尤为重要。

上一篇 下一篇