热门

更多
云泰案例 | PET/CT在鉴别肿瘤良恶性病变中的应用
发布时间:2025-04-27 09:29

提到“肿瘤”、“癌”等字眼,人人闻之色变。但并非所有的肿瘤都是癌,它也有良恶之分,而恶性肿瘤才是我们通常所说的“癌”,那么问题来了,该如何区别肿瘤的良恶性呢?一起来了解下吧!

PET-CT.jpg

云泰案例

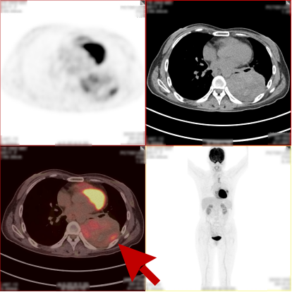
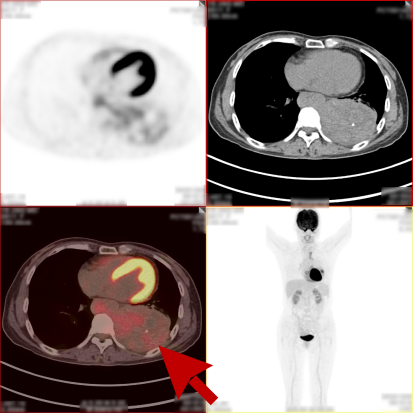
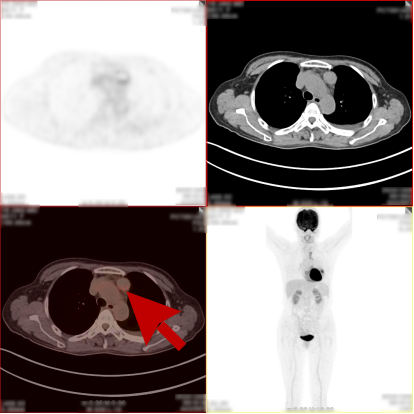
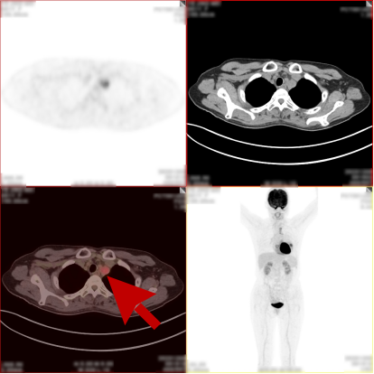
病史:女,51岁,左侧胸腔肿物约3-4年,干咳伴左侧胸痛1个月余,自服药物不能缓解。2023.12.6 CT 显示左侧胸腔及纵隔内肿块,考虑肿瘤性病变,胸膜来源低度恶性肿瘤(胸膜间皮瘤)可能。无其他病史,进食可,二便可,今年以来有体重减轻,为鉴别病灶良恶性申请PET/CT检查。

PET/CT检查所见

图片6.png图片7.png图片8.png图片9.png图片10.png图片11.png

PET/CT诊断意见:

1、左侧胸腔内混杂密度肿块,实性组织代谢轻中度增高,考虑间叶组织来源低度恶性肿瘤,病灶内部分组织坏死,与左侧胸膜粘连并向纵隔内生长;

2、纵隔(1L、2L、3A、6、8R 组)及左侧锁骨上窝多发淋巴结转移灶;

3、胸 8 椎体左份结节状高代谢病灶,考虑骨转移灶。

PET/CT活检病理:恶性畸胎瘤

PET/CT显像通过结合正电子发射断层扫描(PET)和计算机断层扫描(CT),能够提供全身的功能代谢信息和解剖结构定位信息,对于肿瘤与良性病变的鉴别、良性肿瘤与恶性肿瘤的鉴别,甚至是良性病变之间的鉴别,都具有重要意义。

PET/CT显像如何鉴别良恶性病变?

肿瘤(tumor)是机体在各种致癌因素作用下,细胞在基因水平上失去对其生长的正常调控,导致其克隆性异常增生而形成的新生物。广义上的肿瘤包括实体瘤和血液病,但通常所说的肿瘤指的是实体瘤。

即便是实体瘤,也不是所有的肿瘤都表现为肿块,有些肿瘤可能呈现浸润性生长,特别是空腔脏器的肿瘤更容易表现为溃疡的形态。

257535e89cfbda774f99666fd7590160.png

在PET/CT检查过程中,18F-FDG这一代谢显像剂扮演着至关重要的角色。

18F-FDG,一个模仿自然葡萄糖的分子,被放射性的氟18同位素标记,能够沿着与真正葡萄糖相同的代谢路径在体内活动。

由于恶性肿瘤细胞相较于正常细胞拥有更高的代谢需求,它们会贪婪地消耗更多的营养,尤其是葡萄糖。

image.png

当18F-FDG被注射进体内后,它倾向于在代谢活性高的肿瘤组织中积聚。这些积聚区域在PET/CT图像上与周围正常组织形成鲜明对比。医生通过分析这些区域的SUV值(标准化摄取值),能够对病变的性质做出准确推断。

18F-FDG所释放的射线被PET/CT捕捉并重建成图像,使得肿瘤组织的异常聚集区域一目了然。借助这一技术,医生不仅能够早期识别和定位恶性肿瘤的原发部位,评估肿瘤的大小和代谢活跃程度,还能精确判断肿瘤是否已发生远处转移。

需要注意的是部分良性肿瘤与恶性肿瘤是有一定的关联性的。恶变概率相对比较高的良性肿瘤有胰腺良性肿瘤、甲状腺腺瘤、乳腺纤维瘤、大肠腺瘤、胃肠道的平滑肌瘤、软组织纤维瘤等。这些肿瘤有转变为恶性肿瘤的风险,一经发现,要及时处理好。

良性肿瘤与恶性肿瘤,一字之差,结局却千差万别。养成良好的作息习惯、健康饮食!从点滴做起,拒绝一切“恶”化。

上一篇 下一篇